Types of Appliances

Elastics (Rubber Bands)
Wearing your elastics (or rubber bands) helps your upper and lower teeth fit together -- like a matching puzzle! Remember, they work best when you wear them exactly as your orthodontist instructs. The more consistent you are, the faster you'll see results!

Forsus™
The Forsus Appliance is a great alternative for patients who find it tricky to remember their elastics. This handy appliance helps correct overbites and creates a balanced, beautiful smile. It works around the clock (no remembering required!) to make your treatment smooth and super effective all while helping you achieve your best smile yet!
But remember: Elastics are definitely a more comfortable option than the Forsus—so be sure to wear your elastics exactly as directed! Your smile will thank you!

Headgear
Headgear helps correct overbites (when the upper jaw is too far forward) or underbites (when the lower jaw is too far forward). It works by gently guiding your teeth and jaw into their ideal positions. Your orthodontist will show you exactly how to wear it for the best results.

Herbst® Appliance
The Herbst® appliance is often used for younger patients to help move the lower jaw forward and guide the upper teeth back to reduce overbite and help the jaws grow in harmony. It's a super effective tool for creating a strong, balanced bite.

Palatal Expander
A palatal expander helps gently widen the upper jaw to make room for your teeth to fit comfortably. Each small adjustment applies gentle pressure to guide the expansion. Your orthodontist will instruct you about when and how to adjust your expander. Once the desired width is achieved, you'll wear it for a few more months to help everything settle beautifully in place.

Retainers
Your retainers are your smile's best friends! They keep your teeth in their perfect new positions after braces or aligners. Some retainers are removable, while others are fixed. Wearing your retainers exactly as instructed is the key to maintaining your stunning smile for years to come!

Separators or Spacers
Separators (sometimes called spacers) are tiny rubber rings that gently push your teeth apart to make room for orthodontic bands at your next appointment. They're only temporary and will be removed before your bands are placed. Try to avoid sticky foods, floss, and toothpicks while wearing them...they don't get along well!
.jpg)
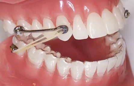
Carriere
The Carriere Appliance is an awesome way to jump-start your smile journey! It helps correct the bite by gently moving the upper and lower back teeth into better alignment before braces or Invisalign treatment even begins. By getting your bite in the right position first, your overall treatment time can be much shorter—meaning you'll be showing off that confident, beautiful smile even sooner!